Galerie lucrări tehnică dentară
Descoperă portofoliul nostru de lucrări protetice realizate cu atenție la detalii, materiale premium și tehnologie digitală CAD/CAM. Fiecare restaurare reflectă profesionalismul și pasiunea pentru excelență a laboratorului nostru dentar.
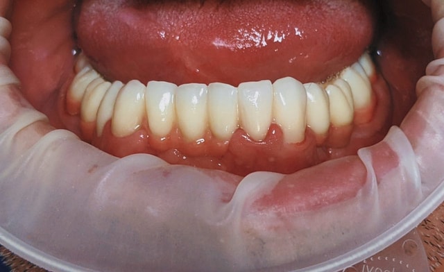
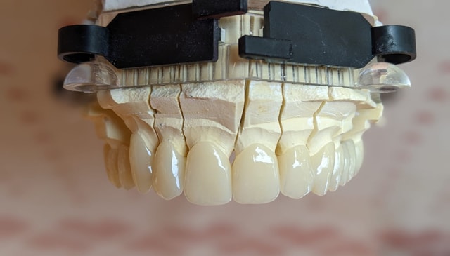
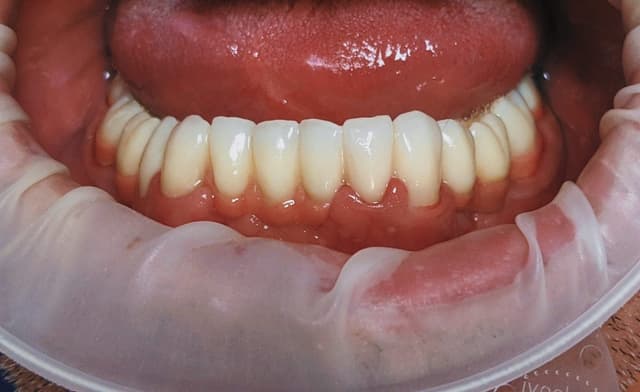
Zirconiu
Zirconiul se remarcă prin versatilitate și estetică de excepție, fiind alegerea ideală pentru zâmbete personalizate. Cu acest material pot fi realizate atât lucrări perfect albe, cu aspect hollywoodian, cât și restaurări individualizate, cu nuanțe naturale și transparențe fine, greu de deosebit de dinții reali.
Indicații:
Recomandat în special pentru zonele frontale și laterale, unde estetica este prioritară. Zirconiul asigură biocompatibilitate excelentă, fără reacții alergice sau modificări gingivale.



